Adult Orthodontics in Melbourne

Straighten teeth comfortably and conveniently without braces with a variety of clear aligner systems. Dr Yvonne King is a leader and educator in the use of this exciting new method of smile design.

Home >> Orthodontics

Orthodontic Treatment in Melbourne

Now, adults and children alike can benefit from new advances in orthodontics. Your total cosmetic care may include a combination of orthodontics and cosmetic restoration treatment. Our goal is to design the best possible treatment for your unique aesthetic goals and functional needs.

At Cosmetic & Laser Dentistry Centre Melbourne, we design smiles with the help of orthodontists and offer several adult orthodontic solutions, including:

  • Invisalign– Perfect for straighter teeth without the use of typical metal braces.
  • Exceed Ortho – A clear aligner alternative similar to Invisalign.
  • Angel Align – Our preferred clear-aligner system.
  • Inman Aligners– Ideal solution for treating crowding of the front teeth.
Book online

Teeth Straightening Melbourne

Here at CLDC in Melbourne, we offer a range of teeth straightening solutions to suit all ages, budgets and lifestyles. Our aim is to use our minimally invasive, efficient and safe teeth straightening treatments to give our patients optimal aesthetic and functional results while being the best cosmetic dentist in Melbourne.

Our clinic is led by Aesthetic Dentist Dr Yvonne King who is a lecturer and expert in clear aligner technology. Dr King has partnered with specialist orthodontists to create one of the leading teeth straightening clinics in Melbourne. At CLDC, we use Clear Aligner technology artfully with minimally-invasive aesthetic finishing,teeth whitening, composite bonding or ultra-thin porcelain veneers to completely transform a smile without compromising the natural integrity of your teeth.

Whether you are struggling with crooked teeth, spacing, or any other alignment issues, the following options will help straighten the teeth and realign your smile to the way it should be.

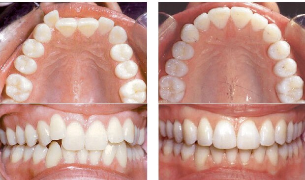
invisalign before after1 e1342063593771

Invisalign – Teeth Straightening Melbourne

Dr King is a renowned expert in Invisalign aligner technology, recently presenting on the topic, toleading dentists from around the world at the World Dental Forum. Invisalign is an innovative orthodontic treatment option, with millions of people worldwide choosing it over traditional braces. Compared to traditional orthodontic treatments, Invisalign offers the following advantages:

  • The clear aligners are almost invisible.
  • The removable aligners allow you to maintain oral health.
  • The aligners offer fast and comfortable straightening results.

At CLDC, we have transformed thousands of smiles and created straight teeth using Invisalign. During the initial consultation, Dr King, our clinical director, will examine your teeth, take a full 3D scan of your mouth, take photographs, and create a tailored treatment plan. Our virtual 3D treatment plan – ClinCheck® – will allow you to see the changes that your teeth will undergo over the course of your treatment.

We will give you a series of aligners, specially manufactured for your teeth, which we change every two weeks. The aligners will slowly and steadily adjust your teeth to the correct position. We will monitor the movement of your teeth at regular intervals, make necessary adjustments to the treatment, and ensure you achieve the ideal outcome both functionally and aesthetically.

Learn more

Inman Aligners Melbourne

Inman aligners are a removable piece that only corrects the four front teeth. This aligner does not cover the entire arch and realigns your front teeth in 6–16 weeks.

All you need is one Inman appliance – making the Inman alignermore affordable compared to other options. This aligner was designed to fix issues such as protrusion and crowding. You must wear the Inman aligners 23 hours a day throughout the treatment period.

Our dentists will examine your teeth and confirm whether the option can address your dental alignment issues as well as how much the Inman aligners will cost. If the device can straighten your teeth, our align dentist will take an impression of your mouth to create a custom-made aligner. Once the aligner is designed, our dentists will fit it to your teeth. We will check the movement of your teeth every 2–3 weeks during the treatment period.

Contact us today to find out more about Inman Aligners.

Learn more

Accelerated Clear Aligners

The Propel VPro5 is an accelerated Invisalign procedure that gives you even quicker results. If you are using an aligner currently, you can still use the Propel VPro5 device to halve the duration of your treatment.

Propel VPro5 is a simple dental device designed to apply micro-vibrations onto your teeth and jawbone, pushing the teeth and allowing for better placement of the aligners. Applying the device for 5 minutes a day will speed up the alignment process.

During the consultation, our dentist will assess your gums and teeth to see whether accelerated orthodontics may work for you. If it is suitable, we will provide you with the device and operating instructions.

Learn more